Şırnak'ta, Kalp ve Damar Cerrahisi Uzmanı Op. Dr. Volkan Burak Taban ve Genel Cerrahi Uzmanı Op. Dr. Serhat Binici, 75 yaşındaki Ayşe Ertur'un dalak arterinde oluşan 7 santimetrelik baloncuğu başarılı bir ameliyatla çıkardı. Ertur, kronik rahatsızlıklarına rağmen sağlığına kavuştu.
Hastanın Durumu ve Teşhis Süreci
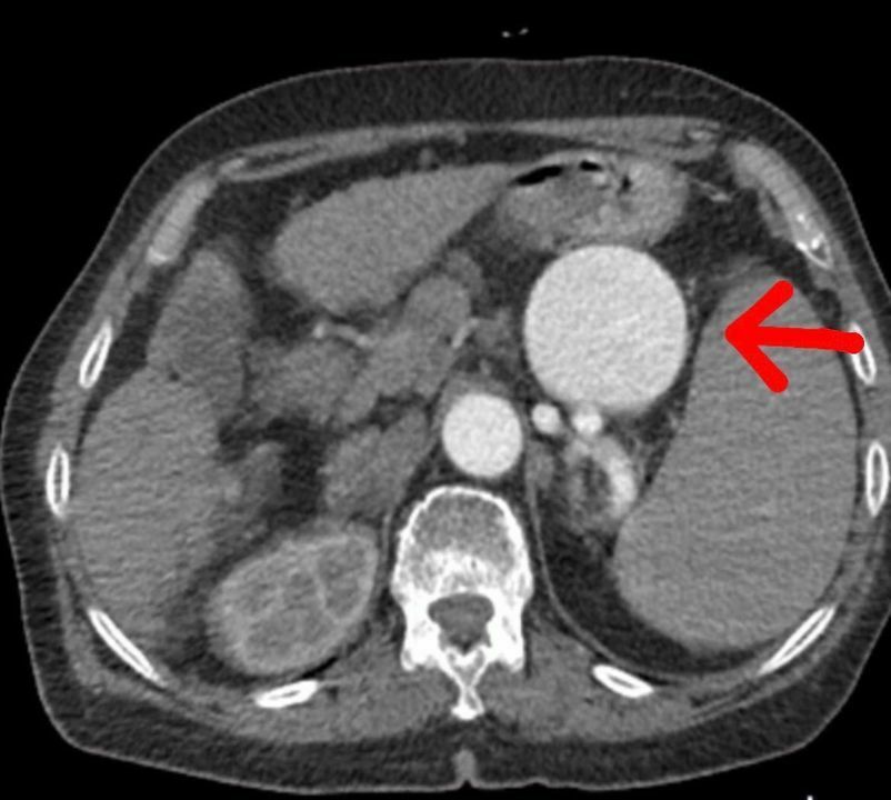
Ayşe Ertur, Mardin, Diyarbakır, Batman, Siirt, Gaziantep ve Şanlıurfa gibi birçok hastanede dalağının alınması gerektiği, ancak bu durumda ameliyat masasından kalkamayacağı söylenerek tedavi edilememişti. Şırnak Devlet Hastanesi'nde yapılan tetkikler sonucunda, dalak arterinde ciddi bir anerizma tespit edildi.

Ameliyatın Detayları
Op. Dr. Volkan Burak Taban, hastanın gastroenteroloji kliniğinden kendilerine geldiğini belirterek, 'Yapılan tomografide dalak arterinde oldukça geniş, dev diyebileceğimiz bir anerizma olduğunu gördük. Bu durum, hastanın hayatını tehdit ediyordu. Multidisipliner bir değerlendirme yaparak, hastayı açık cerrahi ile tedavi etmeye karar verdik' dedi.
Tedavi Süreci ve Ameliyat
Hastanın Şırnak'ta ameliyat edilmesinin riskli olduğunu belirten Dr. Taban, 'Öncelikle anjiyo yoluyla dalak anerizmasını kapatmayı denedik. Ancak başarısız olunca açık cerrahiye geçtik. Açık cerrahi operasyonu ile dalak arterindeki baloncuk başarıyla onarıldı' şeklinde konuştu.

Hasta ve Yakınlarının Memnuniyeti
Ayşe Ertur'un oğlu Kamil Ertur, 'Annemizi birçok yere götürdük, ancak olumlu sonuç alamadık. Şırnak'ta Volkan hoca ve Serhat hocamızın yaptığı başarılı operasyon sayesinde annem sağlığına kavuştu. Allah'a şükürler olsun, onlara teşekkür ederiz' dedi.
